Section Name: First Name Last Name
Notepad++ is a text and source code editor for use with Microsoft Windows. It supports tabbed editing, which allows working with multiple open files in a single window. The product's name comes from the C increment operator.
A 17 year old boy came to OPD with complains of progressive gait ataxia since last 2 years, spine deformity and urinary incontinence. On examination, he had ataxia, brisk knee reflexes, absent ankle jerks. The eye examination was normal. This was his Xray spine
- Which ataxia phenotype is this child fitting into
- What is the usual MRI finding in these cases
- Which vitamin supplementation should be tried in this phenotype
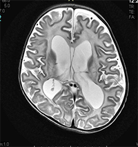
A 2 year old boy came with progressive enlargement of head, and regression of milestones. On examination, he was irritable and macrocephaly and spasticity in all 4 limbs. His radiological investigations are attached.
- What is the name of 2nd investigation shown and what does it show
- What is the likely diagnosis
- What is the MRI pattern in basal ganglia in this disease
A 5 year old boy came to OPD with complains of 2 episodes of seizures and autistic features. On examination, he was found to have the skin lesions shown in the photograph.
- What are these lesions and what is the likely diagnosis
- Name 2 other skin lesions and 2 systemic lesions found in this condition
- Which drug has been FDA approved for adjunctive treatment of partial-onset seizures for patients older than 2 years, in this condition. What are the 2 other indications of this drug in this disease
An 8-year-old girl presented with complains of progressive difficulty in climbing upstairs and deviation of angle of mouth to one side while smiling. She is symptomatic since last 2 years with a gradual increase in complains. On examination she has the clinical sign shown in the picture
- What is the clinical sign shown in the picture. Which muscle is tested by this maneuver
- What is the possible diagnosis
- What is the diagnostic test of choice in this entity
- Identify the machine shown in the picture
- Name 2 FDA approved indications of this machine
- Name 2 other types of neuromodulation procedures